インビザラインで歯列矯正したケース/東京・秋葉原
2021年7月1日
費用は、¥385,000(税込)/調整料込、管理料込。
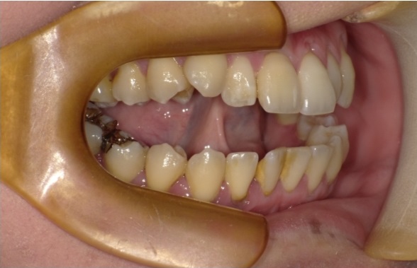
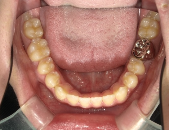
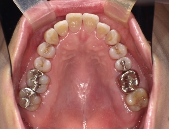
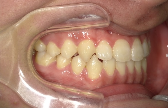
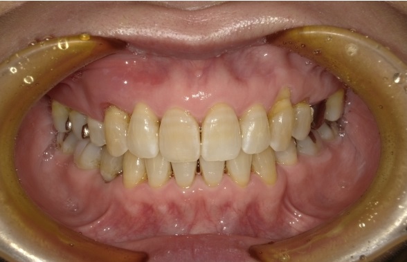
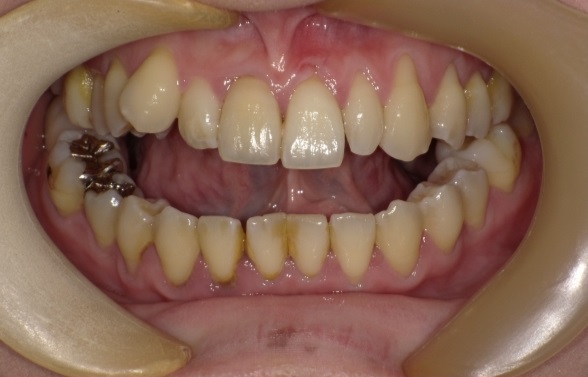
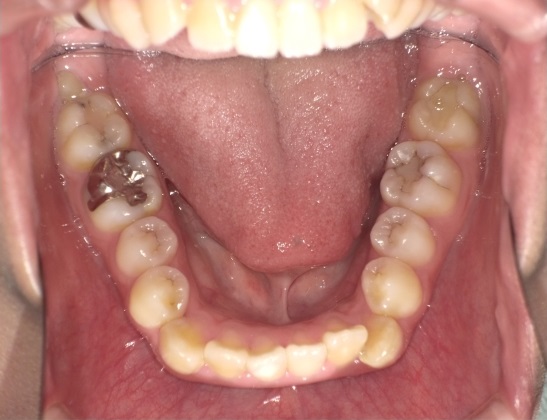
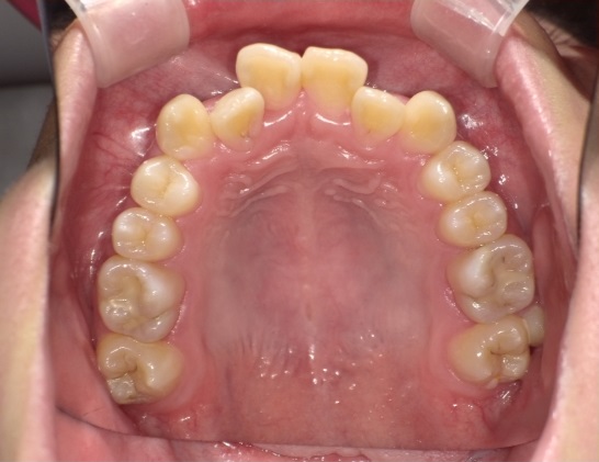
インビザラインで歯列矯正したケース。
治療後、リテーナーを装着しないと後戻りしてしまうリスクがあります。
![]() |
![]() |
![]() |
![]() |
![]() |
![]() |
![]() |
![]() |
![]() |
![]() |
2021年7月1日
費用は、¥385,000(税込)/調整料込、管理料込。
インビザラインで歯列矯正したケース。
治療後、リテーナーを装着しないと後戻りしてしまうリスクがあります。
![]() |
![]() |
![]() |
![]() |
![]() |
![]() |
![]() |
![]() |
![]() |
![]() |
2021年7月1日
費用は、¥770,000(税込)/調整料込、管理料込。
インビザラインで歯列矯正したケース。
治療後、リテーナーを装着しないと後戻りしてしまうリスクがあります。
![]() |
![]() |
![]() |
![]() |
![]() |
![]() |
![]() |
![]() |
![]() |
![]() |
2021年7月1日
費用は、¥770,000(税込)/調整料込、管理料込。
インビザラインで歯列矯正したケース。
治療後、リテーナーを装着しないと後戻りしてしまうリスクがあります。
![]() |
![]() |
![]() |
![]() |
![]() |
![]() |
![]() |
![]() |
![]() |
![]() |
2021年7月1日
費用は、¥385,000(税込)/調整料込、管理料込。
インビザラインで歯列矯正したケース。
治療後、リテーナーを装着しないと後戻りしてしまうリスクがあります。
![]() |
![]() |
![]() |
![]() |
![]() |
![]() |
![]() |
![]() |
![]() |
![]() |
2021年7月1日
費用は、¥385,000(税込)/調整料込、管理料込。
インビザラインで歯列矯正したケース。
治療後、リテーナーを装着しないと後戻りしてしまうリスクがあります。
![]() |
![]() |
![]() |
![]() |
![]() |
![]() |
![]() |
![]() |
![]() |
![]() |
2021年7月1日
費用は、¥385,000(税込)/調整料込、管理料込。
インビザラインで歯列矯正したケース。
治療後、リテーナーを装着しないと後戻りしてしまうリスクがあります。
![]() |
![]() |
![]() |
![]() |
![]() |
![]() |
![]() |
![]() |
![]() |
![]() |
2021年7月1日
費用は、¥385,000(税込)/調整料込、管理料込。
インビザラインで歯列矯正したケース。
治療後、リテーナーを装着しないと後戻りしてしまうリスクがあります。
![]() |
![]() |
![]() |
![]() |
![]() |
![]() |
![]() |
![]() |
![]() |
![]() |
2021年7月1日
2021年7月1日
2021年7月1日

当院で矯正治療を開始された方で、希望される方は、担当医によるLINEサポート(無料)を行っています。
通常は4週~5週に1回来院いただき、お口の状態を確認しますが、LINEフォローをお申込みいただいた場合は、毎週LINEからお口の状態を送信いただくことで、担当医がちゃんと歯が動いているか、問題が出ていないかを確認し患者さんにフィードバックします。
また、何か問題が起きた時もLINEで送信いただければ、担当医がすぐにご返信しますので安心して治療に専念することができます。
興味がある方は、当院までお問い合せ下さい。
詳細はこちら
~必ずお読み下さい~
※利用メーカーにより治療の質が異なります
料金表はこちら
当院では、患者様が抱えていらっしゃるお口のお悩みや疑問・不安などにお応えする機会を設けております。どんな事でも構いませんので、私たちにお話ししていただけたらと思います。ご興味がある方は下記からお問い合わせください。
