- この記事の監修者
- 医療法人「建昇会」理事長。歯科医師。愛知学院大学歯学部卒業、日本成人矯正歯科学会会員、日本矯正歯科学会会員、UCLAカリフォルニア大学ロサンゼルス校歯科矯正科修了。
プチプラン症例
2024年03月5日
今回はプチプランの症例をご紹介します。
プチプランで治療できる歯並びは、
少しのガタつきや、隙間など一部分だけ治すことが可能です。
枚数制限があるので受け口や重なりの強い歯並びは対象外となりフルプランでの治療となります。
こちらがプチプランの治療前の写真です。
30代女性、上の歯のガタつきを気にされてご来院されました。
約3か月、インビザライン治療を頑張っていただきました。
22時間使用していただき、7日に1枚の交換で進めました。
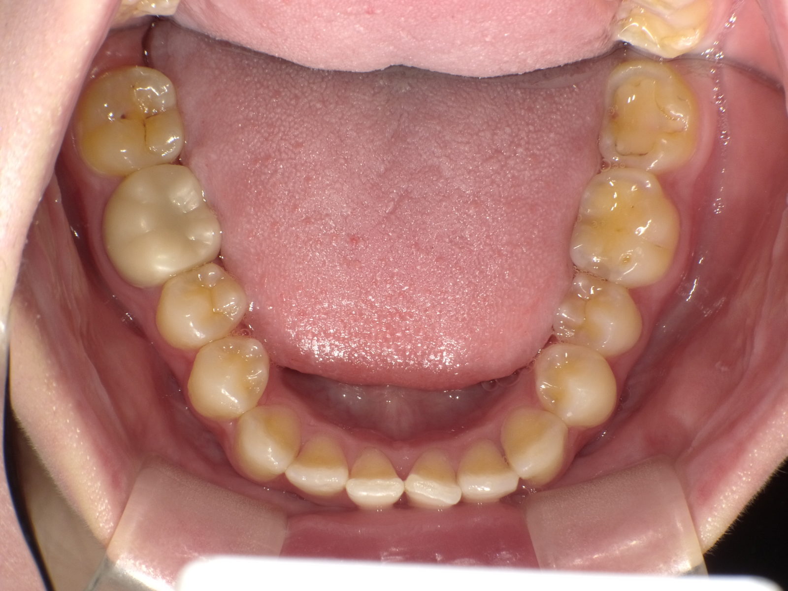
治療後
頑張って使用していただいたので気にしていた上の歯のガタつきは気にならなくなり、
下の歯のガタつきもきれいになりました。
このように前歯のみのちょっとしたガタつきや後戻りであればプチプランで治療することができ、期間・費用も抑えることができます。
無料カウンセリングでは、治療の流れや費用についても詳しくご説明しております
マウスピース矯正をご検討中の方は、お気軽にお問合せください🕊










0120-78-1313

