- この記事の監修者
- 医療法人「建昇会」理事長。歯科医師。愛知学院大学歯学部卒業、日本成人矯正歯科学会会員、日本矯正歯科学会会員、UCLAカリフォルニア大学ロサンゼルス校歯科矯正科修了。
【症例紹介】30代女性|前歯のガタつきをマウスピース矯正で改善
2026年03月14日
秋葉原でマウスピース矯正をご検討中の方へ。
今回は、前歯のガタつきに悩んでいた30代女性の症例をご紹介します。
「もっと早くやればよかった」
治療後にそう話してくださった、リアルなストーリーです。
🌷ご相談のきっかけ
・写真を撮るときに口を閉じてしまう
・笑うと前歯の重なりが気になる
そう話してくださったのが最初のカウンセリングでした。
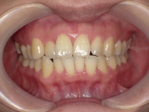
🦷初診時の状態

-
前歯の軽度のガタつき(叢生)
-
口元の印象がやや硬く見える状態
透明マウスピース矯正での改善が可能と診断しました。
📋治療計画
-
治療方法:マウスピース矯正(部分矯正)
-
想定治療期間:約6ヶ月
ワイヤー矯正ではなく、
目立ちにくいマウスピースを選択。
「仕事中もほとんど気づかれませんでした」とのことでした。
🌼治療中のリアル
1週間目
少し締め付けるような違和感あり。
でも痛み止めは不要なレベル。
2ヶ月目
「動いている感じがします!」と実感。
前歯の重なりが少しずつ整い始めました。
外食時
ケースを持参し、取り外してお食事。
慣れれば負担は少なかったとのこと。
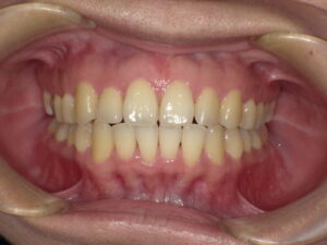
✨治療後の変化
約6ヶ月後

-
前歯の重なりが解消
-
笑顔がやわらかい印象に
「写真を撮るのが嫌じゃなくなりました」
この一言がとても印象的でした。
💬患者さまの声
「最初は本当に動くのか不安でした」
「でも少しずつ変わるのが嬉しかったです」
「もっと早く始めればよかったと思いました」
🌸大人の矯正は遅くない
大人になってからの矯正は決して遅くありません。
✔ 見た目だけでなく、噛み合わせ改善
✔ むし歯・歯周病リスクの軽減
✔ 自信につながる変化
一歩踏み出すタイミングは、
「気になった今」がベストです。
🏥秋葉原でマウスピース矯正をお考えの方へ
秋葉原エリアで目立ちにくい矯正をご希望の方は、
ぜひ一度ご相談ください。
当院では
✔ 無理のない治療計画
✔ わかりやすい説明
✔ 継続しやすいサポート
を大切にしています。
あなたの「自然な笑顔」を一緒に作っていきましょう。
無料カウンセリングはLINEから予約可能です!






0120-78-1313

