- この記事の監修者
- 医療法人「建昇会」理事長。歯科医師。愛知学院大学歯学部卒業、日本成人矯正歯科学会会員、日本矯正歯科学会会員、UCLAカリフォルニア大学ロサンゼルス校歯科矯正科修了。
見た目だけじゃない!マウスピース矯正のリアルな変化!部分矯正編!
2025年07月15日
こんにちは、秋葉原リヨンドール歯列矯正歯科クリニックです。
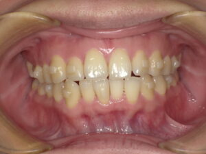
今回は、実際に部分矯正を受けた患者様の歯の動きの変化を写真でご紹介します。
※こちらはインビザラインのプチプランで治療した症例になります。
1ヶ月目:装着に慣れるのが第一歩!

最初の1ヶ月は、見た目の変化よりも「違和感」との付き合い方がメイン。
しゃべりにくさや着脱の手間はあるものの、1週間もするとほとんどの方が慣れてきます。
3ヶ月目:前歯がきれいに並び始めた!

特に、重なっていた前歯の段差が目に見えて改善し、笑ったときの歯並びが自然になってきます。
6ヶ月目:最後の微調整!

下の歯に少し残っていた重なりがなくなりよりきれいな歯並びに
なりました。
最後に
マウスピース矯正は、見た目の目立ちにくさだけではなく“少しずつ着実に変化していく”ことも魅力です。
途中で不安になったときは、こうして写真を見返すとモチベーションアップにつながります。
「実際どのくらいで動くの?」と気になっている方は、いつでも初診相談でご相談くださいね!






0120-78-1313

