- この記事の監修者
- 医療法人「建昇会」理事長。歯科医師。愛知学院大学歯学部卒業、日本成人矯正歯科学会会員、日本矯正歯科学会会員、UCLAカリフォルニア大学ロサンゼルス校歯科矯正科修了。
歯科矯正の落とし穴?歯根吸収と歯茎退縮から歯を守る安全な治療計画
2025年12月26日
歯科矯正の落とし穴?知っておくべき2つの副作用と安全な治療計画
美しい歯並びは、多くの人が憧れるものですが、歯科矯正治療には予期せぬ副作用が伴うことがあります。特に、矯正治療を始める前に知っておくべき2つの副作用があります。今回はそれらの副作用と、それらを避けるための安全な治療計画について詳しく解説します。
副作用1:歯根の短縮(根吸収)
矯正治療中に最も注意が必要なのが、歯根の短縮、つまり「根吸収」です。これは、歯の根の長さが短くなってしまう現象で、矯正力が継続的にかかることが原因となります。
歯根吸収が起こる理由
歯根吸収が起きる主な原因は、以下のような要素が影響します:
- 過度な矯正力:強い力を長期間かけ続けることで、歯の根に負担がかかりやすくなります。
- 治療期間の長期化:矯正治療が長期間にわたると、歯にかかる力の影響で歯根が短くなるリスクが増加します。
- 外的要因:前歯の矯正の場合、唇の圧やスポーツ時の衝撃など、矯正力以外の要因も影響を与えることがあります。
歯根が短くなると?
歯根が短縮することで、歯の支持力が低下し、最終的には歯がぐらついたり、安定性を欠いたりするリスクが高まります。そのため、矯正治療の際には過度な力をかけないこと、治療計画を慎重に立てることが非常に重要です。
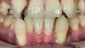
副作用2:歯の骨外への突出と歯茎退縮
次に注意すべき副作用は、歯の骨外への突出と歯茎退縮です。歯が骨の範囲を超えて移動し、歯茎が下がることがあります。
歯茎退縮の原因
歯茎退縮は、歯が本来あるべき骨の位置から外れ、歯茎が下がってしまう現象です。これが起きると、歯が長く見えるだけでなく、歯の支えとなる骨が不足し、長期的な安定性にも悪影響を与える可能性があります。
どんな場合に起こりやすいか?
- 歯の軸が骨の外側に出過ぎると、歯茎が下がることがあります。
- 矯正力が強すぎたり、歯の移動が急激だったりすると、歯の軸が本来の骨内の位置を超えてしまうことがあります。
このような状況を避けるためには、歯の軸を骨の範囲内で移動させることが重要です。無理に歯を動かそうとすると、歯茎退縮などの反作用が起こる可能性があります。
安全な治療計画の重要性
これらの副作用を防ぐためには、適切な治療計画を立てることが非常に重要です。特に、以下のポイントを守ることが予防策となります。
1. 歯を骨の範囲内で動かす
歯を無理に動かそうとすると、反作用が起こり、歯の骨から外れたり、歯茎が下がる原因になったりします。治療計画では、必ず歯を骨の範囲内で動かすことが基本です。
2. 治療の力を適切に調整
過度な矯正力を使わないように、矯正力を適切に調整することが大切です。力が強すぎると、歯根吸収や歯茎退縮などのリスクが高まります。
3. 患者さんの生活習慣を考慮
患者さんの生活習慣(唇の圧、スポーツなど)も考慮して治療を進めることが重要です。例えば、スポーツをしている場合、矯正治療中に歯が衝撃を受けることがあるた
め、その点を特別に配慮した治療設計が求められます。

🎥 関連動画:TikTokで詳しく解説しています!
今回の記事の内容は、TikTokでも動画でお話ししています。
実際の症例や、犬歯がどのように動いていくかを動画でわかりやすくご紹介しています。
ぜひこちらもチェックしてみてください👇
まとめ
歯科矯正を受ける際は、これらの副作用に対するリスクを理解した上で、信頼できる歯科医師と十分に相談することが大切です。安全で効果的な治療を受けるためには、無理のない計画と丁寧な管理が不可欠です。
矯正治療を進める際は、治療の初期段階でしっかりとした計画を立て、その後も定期的に経過を確認していきましょう。これにより、副作用のリスクを最小限に抑え、健康で美しい歯並びを手に入れることができます。
まずはお気軽にカウンセリングへ
当院では、費用・期間・適用など、どんなご相談でも丁寧にお話しさせていただくカウンセリングを行っております。
「少し気になる」そんな気持ちだけでも大丈夫です。
ぜひ一度、リラックスしてお話をお聞かせください。






0120-78-1313

