- この記事の監修者
- 医療法人「建昇会」理事長。歯科医師。愛知学院大学歯学部卒業、日本成人矯正歯科学会会員、日本矯正歯科学会会員、UCLAカリフォルニア大学ロサンゼルス校歯科矯正科修了。
下の歯並びだけが悪い原因とは?骨格・癖・親知らずなど5つの理由と治し方を解説
2025年06月30日
【なぜ?】下の歯並びだけが悪い原因と対処法|骨格・癖・生活習慣を徹底解説
はじめに|「上はキレイなのに…」下の歯だけガタガタな理由とは?
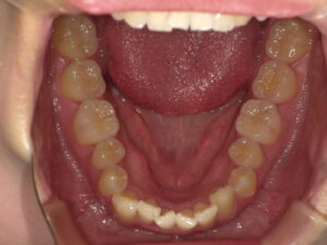
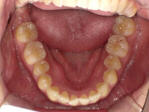
鏡で自分の歯並びを見たとき、「上の歯は整っているのに、下の歯だけガタガタしている…」と気になったことはありませんか?
実はこの「下だけ乱れている」というパターン、矯正相談に訪れる方の中でも非常に多いケースです。
なぜ上下で差が出るのか?
どうすれば下の歯並びもキレイになるのか?
本記事では、その原因・生活習慣・対処法まで徹底解説します。
下の歯並びだけが悪くなる4つの主な原因
① 骨格や顎の大きさのアンバランス
歯の並びは、顎の大きさと歯のサイズのバランスに大きく左右されます。
下顎が小さめの場合、歯が生えるスペースが足りず、前歯が重なり合ってしまうことがあります。
また、上下の顎の成長バランスが悪いと、かみ合わせの負担が下の歯に集中し、歯並びの乱れにつながることも。
② 舌や口の癖(口腔習癖)
舌の位置や動き、頬や唇の力など、無意識の癖が歯並びに与える影響は意外と大きいもの。
特に下の歯は、以下のような癖で動かされやすい傾向があります。
- 舌の位置が常に下がっている(低位舌)
- 片側でばかり噛む癖
- 頬杖・うつぶせ寝・猫背
- 歯ぎしりや食いしばり
これらは、下の前歯に偏った圧をかけ、少しずつ歯並びを崩してしまう原因になります。
③ 成長期の発育アンバランス
子どもの頃に、上顎と下顎の発育スピードに差があると、片方だけ歯並びに乱れが出ることがあります。
また、以下のような子ども時代の癖が後々の歯列に影響を与えることも。
- 長期間の指しゃぶり
- 口呼吸
- 唇を噛む癖
こうした癖は、下顎の成長や歯の生え方に干渉し、将来的に「下だけガタガタ」の原因に。
④ 後から起こる変化(後天的要因)
下の歯並びは、大人になってから乱れ始めるケースも少なくありません。その主な原因がこちら:
- 親知らずの圧迫(下の歯列が前方に押される)
- 奥歯の喪失(かみ合わせの崩れ)
- 加齢に伴う歯列のゆがみ
中でも親知らずは、前歯を徐々に押し出して歯並びを乱す代表的な存在。
「昔は整っていたのに…」という人は、親知らずの影響を疑ってみても良いでしょう。
下の歯だけ乱れていると、どんなデメリットがある?
「上の歯はキレイだからこのままでいい」と思っていませんか?
実は、下の歯並びの乱れは見た目だけでなく、かみ合わせや健康にも悪影響を及ぼす可能性があります。
✔ かみ合わせのズレ → 顎関節や肩こりに影響
上下のバランスが悪いままだと、噛み合わせが不安定になり、顎関節症・頭痛・肩こりの原因になることも。
✔ 上の歯の安定もくずす
下の歯並びが乱れていると、噛むたびに上の歯にも余計な力が加わり、歯並びが崩れる原因に。
✔ 磨きにくく、虫歯や歯周病リスクもUP
ガタついた歯は、歯ブラシが届きにくく、プラークが溜まりやすいため、虫歯や歯周病の温床になりかねません。
下の歯並びだけ直すことはできる?矯正の選択肢
▶ 軽度なら「部分矯正」でOKな場合も
- 前歯だけが少しガタついている
- 噛み合わせに大きな問題がない
このようなケースであれば、マウスピースやワイヤーで下の歯だけを整える部分矯正が可能です。


▶ 噛み合わせの乱れがあるなら「全体矯正」推奨
下の歯だけ矯正しても、上下のバランスが崩れていれば再び乱れる可能性が高いです。
このような場合は、**上下のかみ合わせまで含めた矯正計画(全体矯正)**が適しています。
下の歯並びを改善するためにできること
✔ 舌の位置を意識する(舌トレーニング)
舌は本来、上あごに軽くくっついた位置が理想です。
「舌先が常に下の歯に触れている」人は、低位舌によって歯列を押し広げてしまっている可能性があります。
✔ 頬杖・片噛み・うつぶせ寝をやめる
左右どちらかに力が偏ると、片側の歯に負荷がかかり歯列にズレが生まれます。
姿勢のクセにも注意しましょう。
まとめ|下の歯並びだけ悪いのには、必ず“原因”がある
「下の歯だけガタガタ…」と感じている方は、
骨格・癖・生活習慣・親知らずなど、複数の要因が絡み合っている可能性があります。
✅ 下だけの乱れでも、早めの矯正相談が吉!
矯正は「全体で見る」ことが大切。
一見、下の歯だけの問題に見えても、実は全体の噛み合わせバランスが崩れていることも。
まずは歯科医院でカウンセリングを受け、自分に合った治療プランを見つけましょう。






0120-78-1313

